venerdì 11 marzo 2011
8 Martie la Arad
lunedì 21 febbraio 2011
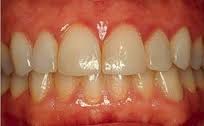
Bolile gingiilor (gingivita si paradontopatia)

Bolile gingiilor sunt reprezentante de infectii bacteriene ale tesuturilor si osului ce inconjoara si sustin dintii. Mai sunt denumite boli parodontale.
Gingivita este o boala care afecteaza doar gingia (tesutul care inconjoara dintii). Bolile gingiilor sunt progresive si se intind sub linia de insertie a gingiei, afectand tesuturile de suport ale dintilor si osul, aparand parodontopatia.
Gingivita se manifesta prin gingii rosi, inflamate, care sangereaza cu usurinta la periaj. Deoarece gingivita nu cauzeaza, de obicei durere, majoritatea oamenilor nu urmeaza tratamentul necesar.
Parodontopatia apare cand bolile gingiilor progreseaza. Gingia se desprinde de pe dinti, lasand spatii adanci, unde bacteriile se pot dezvolta si distruge osul in care dintii sunt fixati. Gingiile se retrag ducand la aspectul de dinti lungi. Dintii devin mobili, pot cadea sau trebuie extrasi.
Ca tratament se recomanda:
- periajul dimineata, dupa mese si gustari, inainte de culcare
- folosirea atei dentare cel putin odata pe zi
- folosirea unei ape de gura antiseptice sau antiplaca
Medicul stomatolog va stabili programarile pentru control si curatiri. Periajul profesional si detartrajul indeparteaza placa si tartrul, ce nu poate fi indepartat cu periuta de dinti si cu ata dentara. Odata ce o persoana a avut probleme cu gingiile, acea persoana trebuie sa viziteze medicul la 3-4 luni.
Se poate prescrie antibiotic pentru lupta cu infectia. Acesta se aplica direct pe gingie, se inghite sau se spala gingiile, fiind sub forma de apa de gura. Se recomanda, de asemenea, o pasta de dinti antibacteriana care, folosita regulat, reduce placa si gingivita
domenica 13 febbraio 2011
Stiati ca.....
giovedì 10 febbraio 2011
Ce inseamna o igiena orala corecta pentru prevenirea aparitiei cariilor dentare?

Simplu, iata ce trebuie sa faci.:
De ce este sexul bun

1.Imbunatateste sanatatea inimii
Sexul regulat reduce riscul de a face atac de cord cu 30%. Pacientii cu o viata sexuala activa sunt mai putin predispusi diabetului si hipertensiunii arteriale.
2.Reduce masa adipoasa
O activitate sexuala adecvata arde pana la 200 de calorii. Asemeni aerobicului stimuleaza activitatea pulmonara si previne bolile de inima.
3.Reduce durerea
In timpul actului sexual se elibereaza in corp endorfina (morfina naturala a organismului).
4.Previne depresia
In timpul activitatii sexuale organismul elibereaza dopamina care are efectul unui antidepresiv natural.
5.Intinereste femeile
In timpul sexului se elibereaza in corp hormonul estrogen care infrumuseteaza pielea si inroseste buzele.
6.Previne raceala
Daca faci sex de doua ori pe saptamana iti va creste nivelul de anticorpi care functioneaza ca un atibiotic natural si care va preveni raceala.
7.Prelungeste viata
Desi nu s-a demonstrat inca stiintific, statisticile arata ca oamenii care au o viata sexuala activa traiesc mai mult decat cei care nu fac sex regulat.